Характеристики MAGNETOM Aera
- Напряженность магнитного поля – 1,5 Тл;
- Диаметр туннеля – 70 см;
- Длина системы – 145 см;
- РЧ-система Tim – [204×48], [204×64];
- Поле обзора во всех направлениях – 50х50х45 см (до 205 см по z-оси с опцией Tim Whole Body);
- Градиентная система – XJ-engine (33 мТл/м @ 125 Тл/м/с) / XQ-engine (45 мТл/м @ 200 Тл/м/с);
- Расход гелия – технология нулевого испарения гелия;
- Компьютер управления – Intel Xeon ≥ W3520 QuadCore;
- Компьютер реконструкции – Intel ≥ E 5620 2.4 GHz (Quad-Core);
- Цветной монитор – 19 дюймов;
- Разрешение монитора – 1280х1024.
Особенности
- Более комфортные условия для пациентов благодаря 70-см открытому туннелю и малой длине системы;
- Повышение производительности, достигающее 50%1 благодаря технологиям Tim 4G и Dot;
- Полный спектр приложений для обычных диагностических и научных исследований.
Интегрированная Dot технология
Dot технология — следующий шаг в развитии МРТ. В качестве комплексного решения для организации рабочих процессов Dot технология предлагает настраиваемую среду для персонализации исследований, пошагового руководства действиями оператора и автоматизации сканирования.
Преимущества:
- Повышение стабильности и воспроизводимости результатов;
- Простота работы;
- Увеличение производительности, достигающее 50%;
- Дополнительная информация о технологии Dot и всех пакетах Dot Engine.
Интегрированная технология Tim 4G
Технология Tim 4G – это катушки высокой плотности в сочетании с максимальным количеством радиочастотных каналов томографа. В архитектуре Tim 4G все передающие и приемные компоненты располагаются в самом магните, что обеспечивает прием и передачу сигнала в цифровом формате.
Преимущества:
- Визуализация с высоким разрешением;
- Ускорение сканирования и проведения исследований;
- Исключительно высокое качество изображений.
Технология Tim ускоряет подготовку пациентов и обеспечивает высокий уровень комфорта. Технологии упрощенного и бескабельного подключения катушек SlideConnect и DirectConnect в сочетании с отсоединяемым столом Tim Dockable Table позволяют в значительной степени сократить время подготовки к санированию.
Катушки Tim 4G с технологиями DirectConnect® и SlideConnect® повышают уровень комфорта для пациентов и удобство работы за счет следующих преимуществ:
- Быстрое и легкое подключение;
- Сокращение времени на подготовку.
Отсоединяемый стол Tim Dockable Table — грамотный подход к мобильности
- Быстрая подготовка пациента даже за пределами процедурной;
- Встроенная 32-канальная катушка для позвоночника;
- Удобство транспортировки;
- Максимально комфортные условия для пациентов с ограниченной подвижностью;
- Нагрузка на стол до 250 кг позволяет проводить исследования даже тучным пациентам.
1,5 Тл МР-томограф экспертного класса
Система MAGNETOM Aera ориентирована не только на увеличение производительности МР-кабинета, но и предоставляет максимальный уровень комфорта для пациентов. MAGNETOM Aera сочетает полный спектр клинических приложений с уникальными технологии компании Siemens Healthineers, например технология сканирования при непрерывном движении стола пациента – TimCT.
Комфорт для пациентов создается за счет сочетания различных аспектов, включая удобную для пациентов конструкцию магнита и легкие катушки. Благодаря открытому туннелю шириной 70 см и небольшой длине (всего 145 см) эта система позволяет проводить диагностические исследования широкому кругу пациентов.
- Потенциальное сокращение вероятности отказа от исследования и увеличение количества возможных клинических приложений;
- Получение более четких изображений благодаря сокращению движений пациента, вызванных тревожным состоянием;
- Конструкция магнита, лучше воспринимаемая пациентами с клаустрофобией;
- Отказ от использования седативных препаратов снижается за счет минимизации вероятности возникновения клаустрофобии;
- Большее количество исследований, при которых голова пациента находится вне туннеля магнита;
- Охват всех категорий пациентов: дети, тучные, тяжелобольные, страдающие кифозом, пациенты с нарушением дыхания, болевым синдромом, ограниченной подвижностью, клаустрофобией и склонностью к беспокойству.
Более комфортная среда для пациентов при сканировании:
- Светодиодная панель с возможностью персональной настройки;
- Выбор цветов согласно предпочтениям пациента.
Tim 4G + Dot — принципиально новый уровень организации рабочих процессов
Благодаря широким возможностям технологии матрицы тотальной визуализации Tim 4G и интеллектуальной автоматизации рабочих процессов на основе Dot технологии становятся доступны методы и инструменты, способные повысить пропускную способность сканера, в некоторых областях ускорение составляет до 50%1,4.
Преимущества увеличения скорости рабочих процессов на системе MAGNETOM Aera:
- Более быстрая подготовка пациентов;
- Более быстрая установка катушек;
- Более быстрое сканирование.
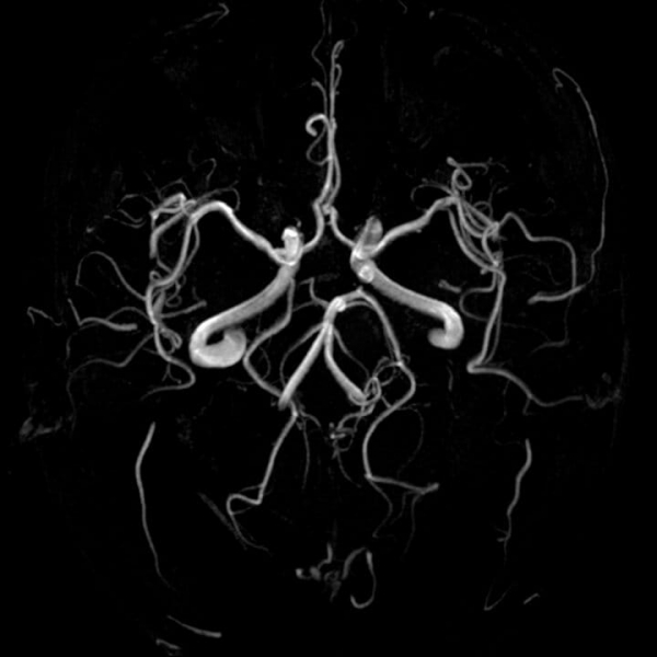
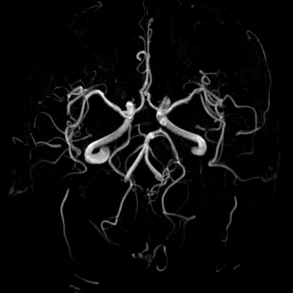
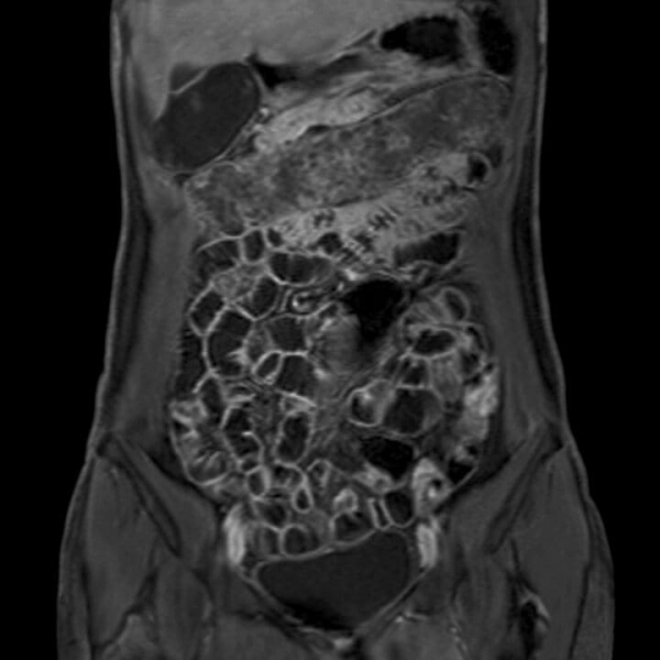
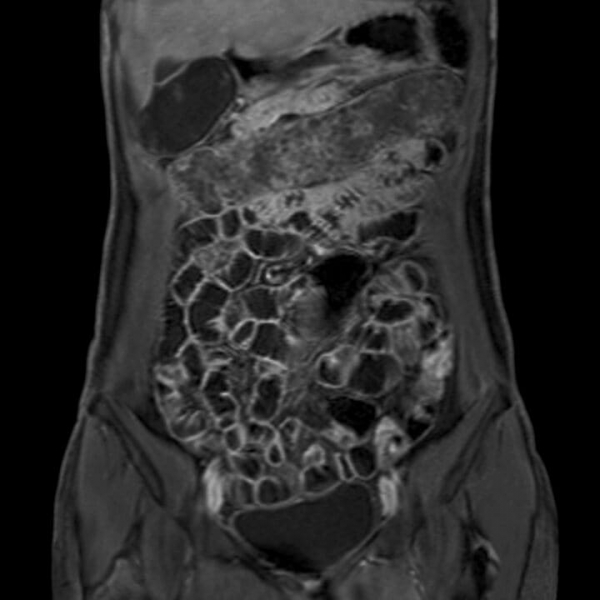
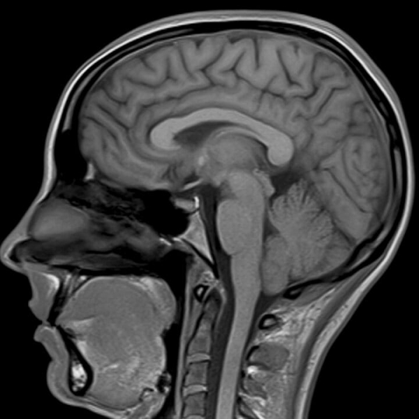
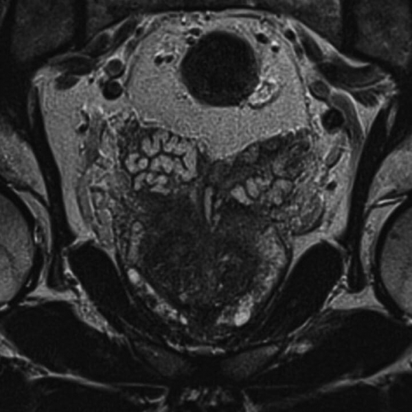
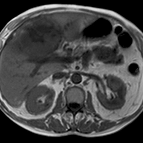
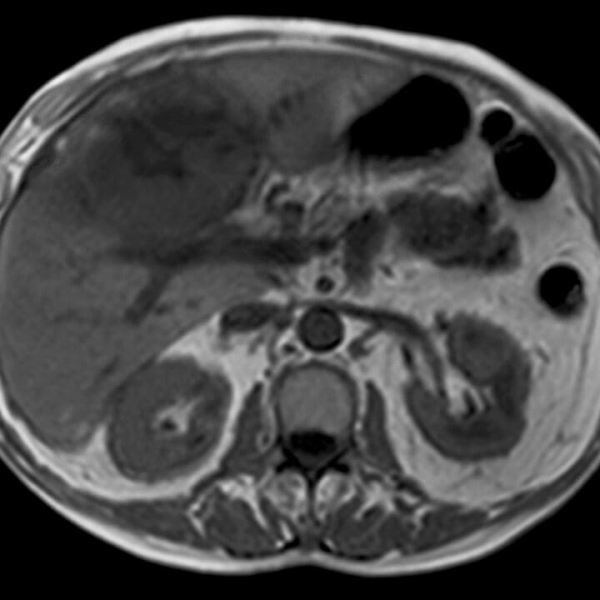
Клинические снимки
Информация о поставке
МЕДПРИБОР ПРО – официальный дилер Siemens в РФ. У нас вы можете запросить КП, характеристики, документацию, сервисную поддержку и другую информацию, отправив письмо на почту info@medpribor.pro
















Отзывы
There are no reviews yet.